Tuesday, May 5, 2015

Aortic Valve Echo

Aortic Valve Echo Images

Echocardiographic Manifestations Flail Aortic Leaflets In ...
Echocardiographic Manifestations of Flail Aortic Valve Leaflets in Bacterial Endocarditis By TAYLOR M. WRAY, M.D. SUMMARY This report describes the echocardiographic features seen in a case of bacterial endocarditis in which the ... Document Viewer

Aortic Valve Echo Pictures

AORTIC REGURGITATION - Calicutcardiosr.in
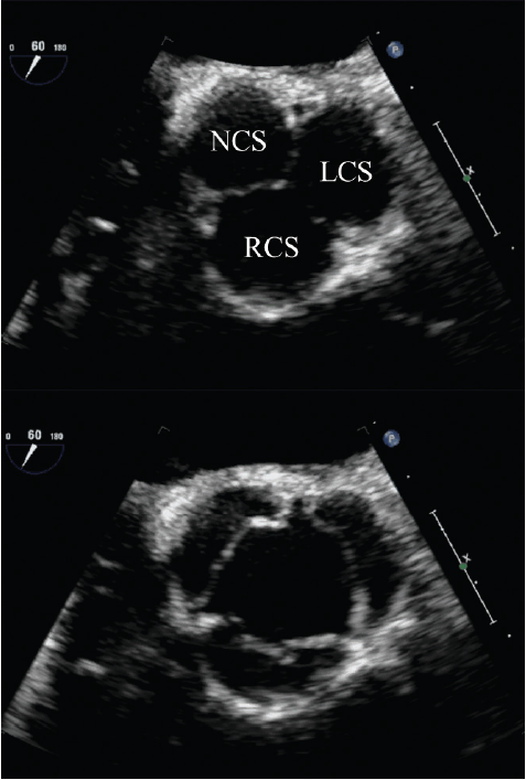
NORMAL AORTIC VALVE. Three cusps, crescent shaped 3 commissures. 3 sinuses. supported by fibrous annulus. 3.0 to 4.0 cm2 ... Fetch Document

Aortic Valve Echo

Aortic Stenosis - Austin Area Echo Society
Question 3. Which is a true statement. Echo has become the gold standard for the assessment of Aortic valve stenosis. Cath is still the gold standard for the diagnosis of Aortic stenosis ... Fetch Doc

Aortic Valve Echo Pictures

Aortic Dissection - Wikipedia, The Free Encyclopedia
Aortic dissection occurs when a tear in the tunica intima of the aorta causes blood to flow between the layers of the wall of the aorta, forcing the layers apart. ... Read Article

Aortic Valve Echo Images

aortic Regurgitation - YouTube
Cases of aortic regurgitation with different severity. ... View Video

Aortic Valve Echo Photos

Aortic Stenosis: Pitfalls In Echo And Hemodynamic Assessment
Aortic Stenosis: Pitfalls in Echo and Hemodynamic Assessment . Howard C. Herrmann, MD University of Pennsylvania . Philadelphia ... Access Content

Pulmonary Veins Definition - Parts Of The Heart
Pulmonary veins carry oxygenated blood from the lungs to the left atrium. There are four pulmonary veins which extend from the left atrium to the lungs. They are the right superior, right inferior, left superior, and left inferior pulmonary veins. ... Read Article

Aortic Valve Echo Photos

Echo Appearance Of Aortic Regurgitation Or Insufficiency ...
Acute aortic regurgitation may be indicative of aortic dissection or endocarditis. Identifying this entity is relatively straight forward using color Doppler analysis echocardiography. Look for a regurgitant jet through the aortic valve during diastole. Jets may be eccentric, so it ... View Video

Images of Aortic Valve Echo

TEE Evaluaton Of Aortic Regurgitation - SCA
TEE Evaluaton of Aortic Regurgitation . Christopher A. Troianos, M.D. Professor and Chair, Department of Anesthesiology Western Pennsylvania Hospital ... Retrieve Document

Photos of Aortic Valve Echo

ECHOCARDIOGRAPHIC ASSESSMENT OF AORTIC VALVE STENOSIS
Aortic stenosis-Causes. Most common :-Bicuspid aortic valve with calcification. Senile or Degenerative calcific AS. Rheumatic AS. Less common:-Congenital ... Doc Viewer

Pictures of Aortic Valve Echo

Aortic Valve Disease Evaluation Of Stenosis Taylor - SCA
Aortic Valve Disease: Evaluation of Stenosis Mark A. Taylor, MD, FASE Pittsburgh, PA A careful and systematic transesophageal echocardiographic evaluation can lead to new ... Access Content

Aortic Valve Echo Pictures

Echocardiographic Assessment Of Valve Stenosis (EAE/ASE)
Echocardiographic Assessment of Valve Stenosis: aortic valve typically is due to superimposed calcific changes, estimated by echo scanning of the valve. However, commissural anatomymaybedifficulttoassess,inparticularinpatientswithsevere ... Doc Viewer

Aortic Valve Echo

Recommendations For Evaluation Of The Severity Of Native ...
Recommendations for Evaluation of the the valve or aortic root, and results in LV enlarge- Detection of aortic insufficiency by standard echo-cardiography, pulsed Doppler echocardiography, and auscul-tation: a comparison of accuracies. ... Doc Retrieval

Aortic Valve Echo Photos

Echocardiographic Assessment Of Prosthetic Valves
Echocardiographic assessment of Prosthetic Valves Michael H. Picard, M.D. Aortic echo instantaneous peak vs cath peak to peak Mitral: Prosthetic valve abnormalities – TEE is the echo gold standard • Thrombus • obstruction/stenosis ... Retrieve Full Source

Aortic Valve Echo

Management Of The Patient With Aortic Stenosis Undergoing ...
Management of the Patient with Aortic Stenosis undergoing Non-cardiac Surgery Srinivasan Rajagopal M.D. – 65 year old female with an aortic valve area of 1 cm2, mean gradient 45, 2-D echo image measuring the diameter of the LVOT ... View Doc

Photos of Aortic Valve Echo

Echo Assessment Of Aorta And Aortic valve - Basic echo
2 Ascending Aorta Sino tubular junction Sinuses of Valsalva Aortic annulus Aortic valve • Appearance –Cusps –Closure line –Vegetations –Annulus ... Read Here

Photos of Aortic Valve Echo

Aortic Valve Replacement Echo Use TAVR - Denver, Colorado
3D Echo Use in TAVR Ernesto E Salcedo, MD Professor of Medicine University of Colorado Denver Director of Echocardiography University of Colorado Hospital ... Document Viewer

Pictures of Aortic Valve Echo

How Not To Miss A Bicuspid Aortic Valve In The ...
ECHO ROUNDS Section Editor: E. Kenneth Kerut, M.D. How Not to Miss a Bicuspid Aortic Valve in the Echocardiography Laboratory Salvatore J. Tirrito, M.D. ∗and Edmund Kenneth Kerut, M.D. ,† ... Fetch This Document

Aortic Valve Echo Images

National Medical Policy - Healthnet.com
Transcatheter Aortic Valve Replacement May 15 1 National Medical Policy Subject: Transcatheter Aortic Valve Replacement (TAVR) Policy Number: NMP511 ... Retrieve Full Source

Aortic Valve Echo Pictures

Quadricuspid aortic valve - Wikipedia, The Free Encyclopedia
A quadricuspid aortic valve (QAV) is a rare congenital heart defect characterized by the presence of four cusps, instead of the usual three found normally in the aortic valve. [1] ... Read Article

Aortic Valve Echo Photos

DOPPLER EVALUATION OF VALVULAR STENOSIS #3 - ECHO IN CONTEXT
When the aortic valve is diseased, the leaflets become thickened and progressively lose their mobility. Eventually, the valve itself becomes ... Fetch Full Source

Pictures of Aortic Valve Echo

977 Detection Of Mitral Valve Abnormalities By Carotid ...
Carotid artery of a patient with mitral valve prolapse on Echo-cardiography. The recording was performed with a 4 MHz Doppler probe (Sonomed) and which is exacerbated by aortic valve disease. The presence of both the auditory detection of flutter ... View Doc

Pictures of Aortic Valve Echo

Echo Of Prosthetic Valves - Doctor Moody
Echo of Prosthetic Valves October 20, 2009 Joe M. Moody, Jr, MD Indications for Echo in Follow-up •TTE after valve intervention, either in hospital or at 2-4 weeks after discharge (I) •Bioprosthetic aortic valve may resemble ... Access Full Source

Aortic Valve Echo Pictures

Bicuspid Aortic Valve - YouTube
Key echo findings in bicuspid aortic valve patients. ... View Video

Photos of Aortic Valve Echo

Echocardiography After Surgery To Replace A Heart valve
The Society of Thoracic Surgeons f you have surgery to replace a damaged heart valve, you may have a test called an echocardio - gram or “echo.” ... Access Full Source

No comments:

Post a Comment