Monday, June 15, 2015

Aortic Valve Tee

Heart Valve Replacements: Deciding Which To Use
Heart Valve Replacements. Once you have made the decision to have heart valve replacement surgery, you, along with your surgeon, will need to decide what type of replacement valve is best for you. ... Read Article

Aortic Valve Tee Images

Aortic valve Type And Calcification As Assessed By ...
In this study of patients undergoing surgery for aortic valve and/or ascending aorta disease, we compared the accuracy of TEE with TTE and with surgical evaluation for assessing AVC ... Retrieve Here

Transesophageal Echo For aortic Dissection - YouTube
KAMC video for TEE workshop. Skip Queue. Watch Queue Queue. Remove all; Disconnect; Loading Watch Queue Queue. __count__/__total__ Find out why Close. Transesophageal echo for aortic dissection Eyas Abu Residual Mitral Regurgitation After Mitral Valve Repair: Leaflet ... View Video

Aortic Valve Tee Images

Quantification Of Aortic Valve Stenosis Using Transesophageal ...
Quantification of Aortic Valve Stenosis Using Transesophageal Real-Time 3D Echocardiographic Images F Veronesi1, C Corsi1, V Mor-Avi2, L Sugeng2, ... Fetch Full Source

Aortic Valve Tee Images

Aortic Regurgitation After Transcatheter Aortic Valve Replacement
Paravalvular Aortic Regurgitation after Transcatheter Aortic Valve Replacement Shuaib Abdullah, MD, MS Division of Cardiology, VA North Texas Healthcare System ... View This Document

Aortic Valve Tee Pictures

Aortic Annulus Anatomy And Measurement And Its Relevance To ...
Aortic annulus anatomy and measurement and its relevance to successful transcatheter aortic valve replacement Proposed new gold standard Introduction ... Doc Viewer

Aortic Valve Tee Photos

Transesophageal Echocardiography In The Diagnosis Of Aortic ...
TEE IN THE DIAGNOSIS OF AORTIC DISEASE Fig 1. Short-axis view of the descending aorta in an elderly patient. The arrow indicates an immobile, layered atheroma- ... Fetch Content

Aortic Valve Tee Photos

IMAGING OF AN ASCENDING AORTIC ANEURYSM
IMAGING OF AN ASCENDING AORTIC ANEURYSM thoracic aortic aneurysms. TEE Can visualize the entire thoracic aorta well, semi-invasive not Bicuspid aortic valve with fusiform dilatation of the ascending aorta with ... Fetch Content

Norwood Procedure - Wikipedia, The Free Encyclopedia
The Norwood procedure is a surgery performed on the heart. Aortic valve replacement. Ross procedure; Percutaneous aortic valve replacement; TEE Myocardial perfusion imaging Cardiovascular MRI Ventriculography Radionuclide ventriculography ... Read Article

Pictures of Aortic Valve Tee

Transesophageal Echocardiography aortic Plaque Imaging
Transesophageal echocardiography aortic plaque imaging (the portion from the aortic valve level to the initial evaluation of aortic plaque. TEE provides a semi-invasive, portable, and widely available means for ... Retrieve Doc

Aortic Valve Tee

Intraoperative Echocardiography For Congenital Aortic Valve ...
Intraoperative Echocardiography for Congenital Aortic Valve Repair: Predictors of Early Reoperation Kenan W. D. Stern, MD, Matthew T. White, PhD, George R. Verghese, MD, MBA, ... Document Viewer

Aortic Valve Tee Photos

Marfan Syndrome With Bicuspid Aortic Valve Diagnosed By ...
Marfan Syndrome With Bicuspid Aortic Valve Diagnosed By Transesophageal Echocardiography His chest pain was characterized by a sudden onset and a ... Get Doc

Information On The Echocardiogram (EKG) - About.com Health
What is the echocardiogram good for? The echocardiogram reveals important information about the anatomy of the heart. It is especially useful for detecting problems with the heart valves (such as aortic stenosis or mitral valve prolapse). ... Read Article

Transcatheter Aortic Valve Implantation - TAVI
Transcatheter aortic valve implantation (TAVI) is a minimally invasive approach to replacing diseased aortic valves. In TAVI, an artificial aortic valve is implanted by means of a sophisticated catheterization procedure. ... Read Article

Aortic Valve Tee Images

3D TEE Leads To Life-saving TAVR Procedure
Aortic valve replacement (TAVR) procedure that had been scheduled at another hospital. TEE Sapien valve iE33 image quality impresses While Gellert has been using 3D echo for some time, his first experience with a Philips system was at Good Samaritan. ... Document Viewer

Aortic Valve Tee Photos

Echocardiography After Surgery To Replace A Heart valve
Cardiogram (TEE). ® Echocardiography after surgery to replace a heart valve When you need it—and when you don’t. In a TEE, a flexible tube is put down your throat and into your esophagus. You cannot eat or drink for eight hours before the TEE, and your throat ... Return Doc

Aortic Valve Tee Photos

Aortic Valve And Ascending Aorta Guidelines For Management ...
Aortic Valve and Ascending Aorta Guidelines for Management and Quality Measures: Executive Summary Writing Committee Members: Lars G. Svensson, MD, PhD (Chair), TAVR transcatheter aortic valve replacement TEE transesophageal echocardiography ... Content Retrieval

Type A aortic Dissection : TTE And TEE - YouTube
Type A aortic dissection with inconclusive TTE.TEE shows clearly the intimal flap and confirms the diagnosis of aortic dissection. ... View Video

Photos of Aortic Valve Tee

In Vivo Analysis Of aortic valve Dynamics By Transesophageal ...
In vivo analysis of aortic valve dynamics by transesophageal 3-dimensional echocardiography with high temporal resolution Michael Handke, MDa Gudrun Heinrichs, Dipl-Inga ... Retrieve Full Source

Pictures of Aortic Valve Tee

Echo Of Prosthetic Valves - Doctor Moody
Echo of Prosthetic Valves October 20, 2009 Joe M. Moody, Jr, MD Class I Indications for TEE in •Bioprosthetic aortic valve may resemble normal valve –careful examination: –sewing ring and struts are more echogenic ... Document Viewer

Aortic Valve Tee Pictures

Comprehensive Assessment Of Aorta With TEE
Aortic Root • The aortic root is the segment of the aorta from the aortic valve annulus to the sinotubular junction, including principally the ... Read Document

Aortic Valve Tee Pictures

Anesthesia For Transcatheter Aortic Valve Implantation
Transcatheter aortic valve implantation (TAVI) At present, patients undergoing TAVI are at a more advanced age and have more comorbidities than patients scheduled for ... Access Content

Aortic Valve Tee Photos

Three-dimensional Transesophageal Echocardiography In The ...
Perforations in the aortic valve. This additional information is available before valve operation is planned. Conclusion This case suggested the role of 3D TEE in the spatial ... Document Viewer

Step-by-Step Intro To Aortic Valve Calculation By The Gorlin ...
Want to watch this again later? Sign in to add this video to a playlist. Demo by David Ferry, MD This 20 minute demonstration shows how to use raw data from hemodynamic measurements of the LV and Ao, and determine the Aortic Valve Mean Systolic Gradient and the Aortic Valve Area in ... View Video

Photos of Aortic Valve Tee

Transesophageal Echocardiography For Cardiac Thromboembolic ...
Transesophageal Echocardiography for Cardiac Thromboembolic Risk Assessment in Patients With Severe, Symptomatic Aortic Valve Stenosis Referred for Potential Transcatheter Aortic ... View Document

Aortic Valve Tee Images

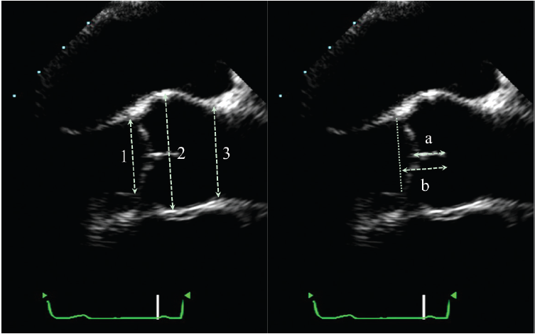
Imaging The Aortic Annulus With Multi-Detector Computed ...
Fig. 2. Three-dimensional transesophageal echocardiography (3D TEE) analysis of the aortic root. From the 3D zoom datasets, 2 long axis views of the aortic valve (A, B) and the short axis view orthogonal to these long ... Read Here

Aortic Valve Tee

TAVR: A Fresh Look At Aortic Stenosis
Transcatheter Aortic Valve Replacement - Imaging • Echo and CT • Safety of valve placement –Echocardiography (TEE) and CT • Procedural guidance –Implant angle (CT) –Final valve size and complications (TEE) Aortic Stenosis calcific (older pts) bicuspid (younger pts) Pathology ... Fetch Content

No comments:

Post a Comment